白内障について

~白内障って?~

よく耳にする“白内障”。では、白内障とはどんな病気でしょうか?


 白内障とは、様々な原因で水晶体タンパクが不可逆的に変性して混濁した状態をいいます。つまり、レンズの部分が変化して濁ってしまい、二度と元に戻らなくなる病気なのです。

 

犬 目が白い

~原因は?~

白内障 原因

  • 発症要因は様ですが、全ての動物に白内障は発症します。
 
  • 遺伝性:1番の要因です
  • 代謝性:糖尿病等、クッシング症候群、甲状腺機能低下症、等
  • 薬物性:ジアジキシド、DMSO、等
  • 栄養性:アルギニン欠乏、等
  • 外傷性:けんか、等
  • 続発性:ぶどう膜炎、等
  • 加齢性:年をとることによります。

【遺伝による好発犬種】

  • ・コッカースパニエル
  • ・柴犬
  • ・トイプードル
  • ・キャバリア
  • ・マルチーズ
  • ・シーズー、
  • ・ヨークシャテリア
  • ・チワワ           など…

~白内障は放置するとなぜ怖い?~

白内障 合併症

  •  白内障は、眼が白く濁り、視覚喪失するだけでなく、様々な合併症を引き起こし、QOLを著しく低下させてしまいます。特に水晶体起因性ぶどう膜炎(LIU)を併発します。

  •  重度の場合は、続発性緑内障、網膜剥離、水晶体脱臼、特に前方に脱臼した場合は激しい疼痛を引き起こします。最終的に眼球癆になることがあります。

~白内障の分類は?~

白内障は濁りの程度で4つに分類されます。

初発白内障

初発白内障

初期の白内障です。混濁範囲は水晶体の15%未満です。  

未熟白内障

未熟白内障

混濁が15%以上であり、視覚は認められます。    

成熟白内障

成熟白内障

水晶体の混濁が全体にわたり、視覚がない状態になります。    

過熟白内障

過熟白内障
 
混濁が強まり、水晶体が溶けてしまう時期です。水晶体核・皮質の萎縮・硬化、水晶体縮小、皮質の液化現象、モルガニー白内障などの状態になります。
 
 

~じゃあ治療はどうしたらいいの?~

【内科的治療】  やむを得ず手術ができない場合に選択される姑息的な治療法であり、効果は期待できません。ぶどう膜炎などの様々な合併症の予防や治療のために点眼薬、内服薬などが必要になる場合があります。
 
【外科手術】
 白内障治療の原則は手術です。手術により、水晶体を物理的に吸い取ることで資格回復を期待します。

~手術の前に~

 網膜や視神経などに障害がある場合、白内障手術をしても視覚回復は期待できません。白内障手術後に視覚回復が期待できるかどうかを検査する必要があります。そのため、白内障手術を行う前に、超音波(エコー)検査網膜電位図(ERG)検査を実施して、視覚回復の可能性を評価します。

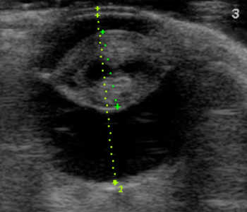
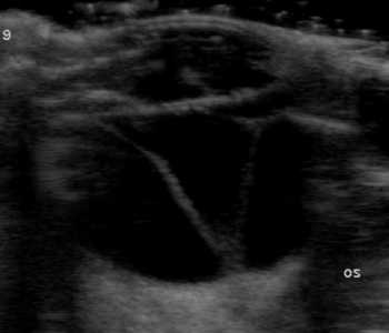
【超音波(エコー)検査】
 目の中、特に硝子体や網膜など水晶体の裏側がどのような状態なのか調べます。エコー検査により、白内障の混濁状態や網膜剥離や眼内出血などの合併症の評価を行います。

犬 白内障

白内障(成熟)

犬 網膜剥離

網膜剥離

【網膜電位図(ERG)検査】
 ERG検査とは、網膜に光を当てて刺激することにより発生する電気信号を計測して、光受容体の機能や網膜の細胞の活動を評価します。これにより、網膜に異常がないかを評価します。

網膜電位図

網膜電位図検査(ERG検査)

犬 ERG

正常波形

~どんな手術なの?~

 簡単に言えば、手術により濁った水晶体を取り除いて、目の前をスッキリさせる手術です。外科用の顕微鏡と特殊な機器を使った手術です。

白内障手術 

① まず角膜を3mm切開し、角膜にトンネルをつくります。

白内障手術 厚木

② 晶体の前嚢の膜を取り除いて、窓を作ります。

白内障手術 海老名

③ 水晶体を破壊・吸引します。その後、中をよく洗います。

白内障手術 町田

④ 人工レンズをカプセルの中に挿入します。

白内障手術 大和

⑤ 最後に角膜を縫合します。

犬 白内障

白内障手術前

犬 網膜剥離

白内障手術1ヶ月後

~手術のリスクは?~

 白内障の場合、短時間で終わる手術だからといって手術のリスクを考えずにお受けする事はできません。手術は病期進行度に合わせて難しくなり、合併症のリスクが増します。

眼内出血
・ぶどう膜炎
・緑内障
・網膜剥離
・感染症
・後発白内障
・後嚢破損  など

動物病院 予約

当院は完全予約制です。まずはお電話でご相談くださいますよう、お願いいたします。夕方、土日、祝祭日は混雑が予想されますので、お早めに連絡いただけますようお願いいたします。